紫云英苷对雷公藤甲素所致小鼠睾丸损伤的保护作用及机制研究毕业论文
2020-04-25 20:24:06
摘 要
紫云英苷(Astragalin)作为一种天然的黄酮类化合物对睾丸组织具有较好的保护作用,建立雷公藤甲素诱发小鼠睾丸损伤模型,通过紫云英苷(15、30和60 mg/kg)给药治疗14天,检测小鼠睾丸指数、睾丸组织形态学变化、体内氧化应激指标的变化以及利用原位末端缺刻标记法(TUNEL)检测睾丸组织凋亡情况,探讨紫云英苷对雷公藤甲素所致小鼠睾丸损伤的保护作用。采用免疫组化和蛋白免疫印记(Western blot)法,研究紫云英苷对雷公藤甲素所致小鼠睾丸损伤的保护作用的可能机制。结果表明:紫云英苷可以有效地保护雷公藤甲素所造成的睾丸组织损伤,缓解睾丸内氧化应激状态从而减少睾丸细胞凋亡。
关键词:紫云英苷;雷公藤甲素;睾丸损伤;氧化应激;磷酸化c-Jun氨基末端激酶
Abstract
As a natural flavonoid, astragalin has a good protective effect on testis tissue, and established a model of testicular injury induced by triptolide in mice, through astragalin (15, 30 and 60 mg/kg). The drug was treated for 14 days, and the testicular index, testicular histomorphology, oxidative stress index and oxidative stress in vivo were detected. The TUNELwas used to detect apoptosis of the testicular tissue.Which was used to detect the protective effect astragalin on tiesticular injury induced by triptolide in mice. Immunohistochemistry and Western blotting were used to study the possible mechanism of the protective effect of astragalin on triptolide-induced mouse testicular injury. The results showed that astragalin can effectively protect testicular tissue damage caused by triptolide, relieve oxidative stress in testis and reduce testicular cell apoptosis.
Keywords: astragalin; triptolide; testicular injury; oxidative stress; phosphorylated c-Jun amino terminal kinase
目录
摘要 I
Abstract I
第一章 文献综述 1
第二章 材料与方法 5
2.1 实验材料 5
2.2实验方法 5
2.2.1动物分组与给药 5
2.2.2睾丸指数测定 6
2.2.3睾丸组织超氧化物歧化酶(SOD)活性测定 6
2.2.4睾丸中丙二醛(MDA)含量测定 6
2.2.5睾丸组织的蛋白提取和Western blot法 7
2.2.6 睾丸组织的苏木精伊红(Hamp;E)染色 8
2.2.7睾丸组织的TUNEL染色 8
2.2.8睾丸组织免疫组化法检测p-JNK 8
2.3统计学方法 8
第三章 实验结果 9
3.1紫云英苷对睾丸指数的影响 9
3.2紫云英苷对睾丸组织的SOD活性的影响 9
3.3紫云英苷对睾丸中MDA含量的影响 10
3.4紫云英苷对睾丸组织形态学的影响 11
3.5紫云英苷对睾丸组织细胞凋亡的影响 12
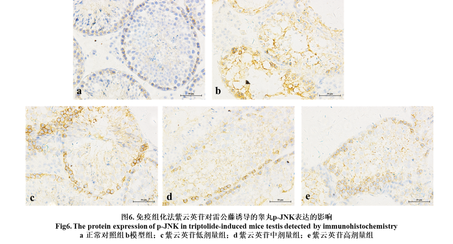
3.6紫云英苷对睾丸组织的p-JNK表达的影响 13
第四章 结论与讨论 15
一、结论 15
二、讨论 16
参考文献 18
致谢 20
文献综述
不育症[1]-[2]是一个十分常见的生殖障碍疾病,它会影响家庭的和睦与完整,从而影响到社会的状态,这是目前一个亟待解决的问题。已的有研究表明,男性不育症占所有不育症病例的30-50%。男性不育症产生的原因很多,比如精神压抑、环境污染、暴饮暴食、电子辐射、长期熬夜、工作压力增加、药物滥用等直接或间接的导致不育症的发生,男性不育症会使男性精子的质量,数量和活力水平相较于正常人显著下降,联合国世界卫生组织(World Health Organization,WHO)详细的对男性不育症进行了分类,此处不再详述,大致分为性功能障碍;精子异常;激素紊乱;其他这四大类。在这四大类的研究中,首先性功能障碍这方面,主要从心理和生理两大方面来进行治疗,这一疾病的产生可能与诸多因素有关,但是大都可以治愈。其次精子异常在生理学上有很多的分类,比如少精子、精子形态异常、精子活力异常、弱精子等都可算作是精子异常的表现,精子异常的外部因素可能会涉及到我们生活的方方面面,如感染、自生免疫力下降、生殖器官及附属腺器质性或功能性损伤、不好的生活习惯等,精子异常由于其复杂性,在临床治疗较为困难。再其次就是激素紊乱,激素在人体内虽然含量不高,但却十分重要,激素水平只要离开调定点一段时间就会引起机体的各种功能状态的改变,所以保持机体激素水平相对稳定,对于生命生存非常重要,但是调节激素水平在临床上也十分困难,最后其他方面还有待研究。目前在科研学术邻域最热门的是在精子异常和性功能障碍这两方面的研究。男性不育症的研究主要集中在精子发生异常和睾丸损伤两方面,因为这两方面的研究对于临床上治疗不育症有更加可行性的价值。目前有70%左右的男性不育症的病因可追溯为睾丸疾病。睾丸是男性生殖系统中产生精子的主要生殖器官之一,睾丸对精子的发生,获能有着重大影响。现在许多实验室和机构针对于男性不育症进行了大量的研究,都在探究睾丸损伤的可能机制并寻找能够有效治疗睾丸损伤导致的不育症的药物。通过对大量文献的研究和实验研究可知氧化应激在睾丸组织的损伤过程中起到了举足轻重的作用。氧化应激(oxidative stress,OS)[3]是指因为机体的氧化系统与抗氧化系统的动态平衡发生了倾斜,导致活性氧(ROS)在机体内大量产生并累积的一种异常状况,可引起机体生理状态和生化指标变化,不再处于机体最适应的状态,从而造成组织细胞功能丧失与细胞坏死。氧化应激是一种负面作用,是因自由基在体内积聚含量过高,而对机体产生有害影响。睾丸内产生的大量活性氧(ROS)没有及时消耗掉,在机体内大量累积,致使睾丸支持细胞损伤,进一步引起精子数量下降、精子活动率降低、睾丸酮和促黄体生成激素水平降低,精子畸形率升高,因此睾丸组织的氧化应激损伤是导致男性生精功能障碍的一个重要因素。研究表明,活性氧通过激活c-Jun氨基末端激酶(c-Jun NH2-terminal Kinase,JNK)相关信号通路,进而导致自噬的持续增强是诱发细胞死亡的重要机制之一。在这条信号通路中占重要地位的蛋白很多,其中磷酸化JNK(p-JNK)上调引发线粒体凋亡从而引起睾丸支持细胞损伤最后诱发睾丸损伤是目前比较明确的机制之一。睾丸支持细胞(SCs)[21]扮演着“滋养细胞”的角色,通过分泌蛋白质、激素和小分子中间代谢物,为睾丸组织提供细胞骨架,以及生殖细胞发育、存活和成熟的微环境。更重要的是,干细胞形成血睾丸屏障(BTB),它提供了一个屏障,以保护生殖细胞免受有毒物质的伤害,所以睾丸支持细胞对于睾丸完整性是一个非常重要的细胞。由疾病(例如糖尿病,肥胖症和高脂血症)、空气中的污染物或具有生殖毒性的药物引起的活性氧积累与机体抗氧化能力之间平衡的破坏[4],将导致睾丸组织的功能和结构损伤,引起不育症的发生。
鉴于对不育症的研究,寻找能够安全,有效预防和治疗不育症的药物成为现在众多科研工作者的目标与重点。针对于睾丸损伤导致的不育症通过文献与前期实验的经验选取雷公藤甲素(triptolide,以下简称 TP)[5]作为本次研究的造模药物。雷公藤甲素是雷公藤的有效活性成分之一, 具有消除炎症作用[6]、激活免疫作用 [7] 、损伤生育功能作用以及治疗肿瘤作用等。雷公藤甲素的抑制生育作用,是我们需要的造模药的药效,在此次研究中,这将不再是一个毒副作用。雷公藤甲素主要表现在对雄性生殖系统的损伤上面 ,如阻碍精子在发育过程中获能, 使精子活动能力减弱、致使精子发生畸变等 ,从而抑制精液液化和卵子受精,这是导致不育症发生的重要原因之一。同时雷公藤甲素对睾丸的主要影响不仅仅是会造成睾丸的萎缩 [8],还会造成机体内脏器系数降低,睾丸或附睾组织中各级生精细胞及精子变性 、坏死及数量减少 ,并且查阅文献了解到由于雷公藤甲素治疗药物不是一次给药就能完成的,必须多次给药,故而会在机体内累积,雷公藤甲素的抗生育作用[9]就是一种蓄积性毒副作用,给药次数越多,毒性越大,最后很可能会造成样本死亡。但是雷公藤甲素作为一种生殖系统疾病的造模药物有许多的优点,比如模型是否成功的检查指标容易确定,并且雷公藤甲素对胃肠道系统的毒性、排泄系统的毒性、生殖腺和附属器管的毒性及体循环系统的毒性在程度和反映上是各不相同的,雷公藤甲素的毒副作用在不同组织、脏器的可逆性也是不尽相同的,这是一个做目标脏器、组织损伤或用药的特点。雷公藤的毒性在未造成极其严重的损伤时多数是可逆的,停药后可恢复,故而在实验研究中常用雷公藤甲素来造生殖障碍或其他系统的疾病的研究模型;雷公藤甲素制备睾丸损伤小鼠模型,研究其用药剂量及时间的最佳组合,制备相对合理的睾丸损伤模型。为研究紫云英苷对小鼠睾丸损伤的保护作用及机制研究提供了可操作的前提。
相关图片展示:






课题毕业论文、开题报告、任务书、外文翻译、程序设计、图纸设计等资料可联系客服协助查找。
